Paciente con tumor de piel localizado en hipogastrio y región inguinal.
mujer de 73 años, presenta placa pétrea con tumores vasculares sobre la misma, un año de evolución, dolorosa por intervalos. APP: radioterapia por carcinoma uterino hace 30 años. Diagnostico clínico: Kaposi sarcoma ? radiodermitis. ?
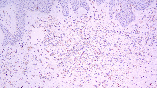
Biopsia de piel:
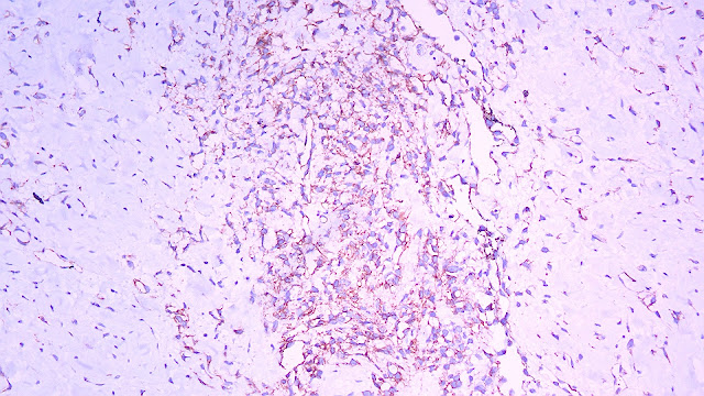
INMUNOHISTOQUÍMICA:
HHV-8
CD34
CD31
DIAGNÓSTICO FINAL:
ANGIOSARCOMA CUTÁNEO POSRADIACIÓN.
Terminología
Neoplasia maligna que surge de las células endoteliales o de sus precursores
Etiología/Patogénesis
Sarcoma más frecuente en la mama (~ 40%)
Tipos
AS idiopático (primario), mujeres jóvenes (~ 50%)
Se presenta como una masa mamaria palpable de crecimiento rápido
AS secundario (relacionado con el tratamiento), mujeres mayores (~ 50%)
Se presenta con una coloración roja oscura o violácea de la piel de la mama o un brazo ipsilateral edematoso.
Asociado a la radiación ± edema relacionado con el tratamiento del cáncer de mama
Amplificación de MYC en el 55-65%.
Aspectos clínicos
El tratamiento más eficaz es la extirpación quirúrgica del tumor con márgenes amplios
La mediana de supervivencia sin recidiva es de ~ 3 años
Las localizaciones metastásicas más frecuentes son pulmón, hígado, hueso y mama contralateral
Biopsia
Canales vasculares anormales y anastomosados
Los bordes son infiltrantes y no están bien circunscritos
En los tumores poco diferenciados, puede haber áreas sólidas fusiformes o epitelioides sin formación evidente de vasos.
Un panel de marcadores de antígenos endoteliales y epiteliales puede ayudar a distinguir el AS del carcinoma poco diferenciado
Principales diagnósticos diferenciales
Lesión vascular atípica
Hiperplasia endotelial papilar
Hemangioma
Hiperplasia estromal pseudoangiomatosa (PASH)
Angiolipoma
Carcinoma
Radiación
La radioterapia para el cáncer de mama multiplica por 9 el riesgo de EA
La radiación de la pared torácica para la enfermedad de Hodgkin aumenta el riesgo de cáncer de mama pero no de EA
Se desconoce el motivo; probablemente esté relacionado con la edad en el momento de la radiación y/o las dosis de radiación
Los tumores surgen en la piel irradiada y se presentan como cambios cutáneos eritematosos y violáceos.
En raras ocasiones, los tumores están presentes en el tejido mamario más profundo sin afectación cutánea
El AS puede ir precedido de lesiones vasculares atípicas (AVL) de la piel
En algunos casos, las lesiones vasculares atípicas pueden ser precursoras no obligatorias del SA
Los pacientes con sarcomas asociados a radiación tienen peor pronóstico que los no asociados a radiación
El pronóstico mejora si se extirpa quirúrgicamente todo el tejido irradiado mediante mastectomía y escisión amplia de la piel suprayacente.
Agradecimientos:
Agradecemos al Dr. Juan Pablo Valdivieso (Cuenca - Ecuador) por referirnos este interesante caso.
Biobliografía:
- Beca F et al: Primary mammary angiosarcomas harbor frequent mutations in KDR and PIK3CA and show evidence of distinct pathogenesis. Mod Pathol. 33(8):1518-26, 2020
- Corradini AG et al: Post-radiotherapy vascular lesions of the breast: immunohistochemical and molecular features of 74 cases with long term follow up and literature review. Histopathology. ePub, 2020
- Painter CA et al: The Angiosarcoma Project: enabling genomic and clinical discoveries in a rare cancer through patient-partnered research. Nat Med. 26(2):181-7, 2020
- Steininger R et al: Masson's tumor of the breast: Rare differential for new or recurrent breast cancer-case report, pathology, and review of the literature. Breast J. 26(4):752-4, 2020
- Abdou Y et al: Primary and secondary breast angiosarcoma: single center report and a meta-analysis. Breast Cancer Res Treat. 178(3):523-33, 2019
- Mito JK et al: A comparison of outcomes and prognostic features for radiation-associated angiosarcoma of the breast and other radiation-associated sarcomas. Int J Radiat Oncol Biol Phys. 104(2):425-35, 2019
- WHO Classification of Tumours: Breast Tumours. 5th ed. International Agency for Research on Cancer, 2019



















Comentarios
Publicar un comentario